Kırşehir'de midelerinde 1 kilo 300 gram eroin ve 550 gram afyon sakızı taşıdığı belirlenen yabancı uyruklu Y.S. ve H.S. yakalandı. Şüpheliler, emniyetteki işlemlerinin ardından çıkarıldıkları mahkemede tutuklandı.
30 Temmuz 2024 - 14:57
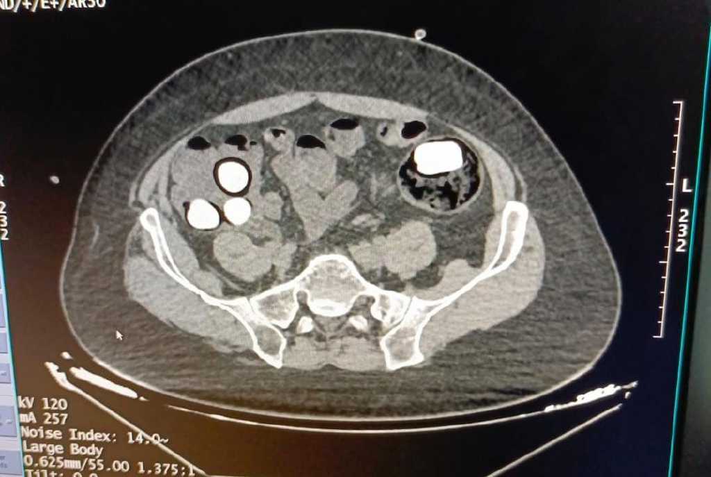
Uyuşturucu midelerinden çıktı...
Kırşehir İl Emniyet Müdürlüğü Narkotik Suçlarla Mücadele Şube Müdürlüğü ekipleri, yabancı uyruklu Y.S. ve H.S.'nin, doğu illerinden Türkiye'ye kaçak yollarla giriş yaparak, batı illerine uyuşturucu getirecekleri bilgisini aldı.

Bunun üzerine şüphelilerin bulunduğu yolcu otobüsü, il girişindeki kontrol noktasında durduruldu.

Gözaltına alınan yabancı uyruklu 2 kişiye, hastanede yapılan incelemeler sonucunda midelerinde 126 kapsül halinde 1 kilo 300 gram eroin ve 44 kapsül halinde 550 gram afyon sakızı olduğu görüldü.

2 KİŞİ TUTUKLANDI
Uyuşturucular, hastanedeki müdahalenin ardından şüphelilerin midesinden çıkarıldı. Y.S. ve H.S., emniyetteki işlemlerinin ardından çıkarıldıkları mahkemece tutuklanarak cezaevine gönderildi.
22 Mayıs 2026 - 19:27
22 Mayıs 2026 - 09:24
22 Mayıs 2026 - 06:41
21 Mayıs 2026 - 18:14
21 Mayıs 2026 - 18:08
YORUMLAR
{{ commentList.length }} Yorum{{ item.name }}
{{ item.date }}
Henüz yorum yapılmamış.
YORUM YAP